MR-Angiographie
Was ist eine MR-Angiographie?
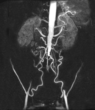
Die MR-Angiographie ist ein bei uns regelmäßig eingesetztes modernes strahlenfreies Untersuchungsverfahren zur Darstellung der Schlagadern und der Venen. Hierdurch können beispielsweise Verengungen der Blutgefäße (Stenose) in allen Körperregionen erfasst werden. Damit ist diese Technik eine der besten Methoden die Ursachen einer eingeschränkten Gehstrecke (Schaufensterkrankheit) zu untersuchen. Die MR-Angiographie ist auch sehr gut geeignet um pathologische Gefäßerweiterungen (Aneurysma), z.B. der Bauchschlagader, zu erkennen oder um angeborene Varianten der Venen und Schlagadern zu untersuchen. Die Untersuchung der großen Körpervenen erlaubt es Blutgerinnsel (Thrombose) oder angeborene Engstellen der Venen (z.B. May-Thurner Syndrom) zu erkennen. Ständige Verbesserungen der Gerätetechnik haben die Aussagekraft der MR-Angiographie soweit verbessert, dass auf eine weiterführende invasive Katheterdiagnostik oft verzichtet werden kann. Die MR-Angiographie ist ein Standardverfahren um die Behandlung von Gefäßkrankheiten zu planen.
Typische Untersuchungsgebiete für die MR-Angiographie sind:
• Halsschlagadern (A. carotis)
• Bauchschlagader (Aorta)
• Nierenarterien (A. renalis)
• Becken-, Ober- und Unterschenkelarterien
• Große Körpervenen (v.a. Beckenvenen und untere Hohlvene).
Vorbereitung vor einer MR-Angiographie
Da die MR- Angiographie mit einem sehr starken Magneten angefertigt wird, sind Metallteile unerwünscht und können sogar ein Ausschlussgrund für eine derartige Untersuchung sein. Schon bei der Planung einer MR-Angiographie sollten Sie daher direkt angeben, ob Sie einen Herzschrittmacher, Herzklappen oder sonstige Implantate aus Metall oder metallische Splitter im Körper tragen. In diesen Fällen muss ein Arzt prüfen, ob die Untersuchung durchgeführt werden kann.
Zur optimalen Beurteilung der Blutgefäße wird oftmals Kontrastmittel benötigt. Diese sind in der Regel sehr gut verträglich und können meistens auch bei einer Allergie gegen Röntgenkontrastmittel verwendet werden. Da das Kontrastmittel über die Nieren mit dem Urin ausgeschieden wird ist eine ausreichende Nierenfunktion notwendig. Hierfür benötigen wir vor der Untersuchung eine Blutuntersuchung mit Angaben zu Kreatinin-Wert und Glomerulärer Filtrationsrate (GFR).
Unmittelbar vor der Untersuchung erhalten Sie einen venösen Zugang für die Kontrastmittelinjektion. Außerdem können Sie uns noch offene Fragen zu Risiken und Nebenwirkungen der verwendeten Kontrastmittel stellen.
Ablauf der MR-Angiographie
Vor Beginn einer Untersuchung müssen Sie alle Metallteile ablegen. Dies betrifft auch Scheck- oder Kreditkarten, die einen Magnetstreifen haben. Erst wenn alle metallischen Teile abgelegt sind, darf der Untersuchungsraum betreten werden.
Für die Untersuchung liegen Sie auf einem Untersuchungstisch und die zu untersuchende Körperregion wird mit einer besonderen Abdeckung (Spule) umgeben. Damit Sie uns gut hören können bekommen Sie einen Kopfhörer. Über eine Gegensprechanlage können Sie jederzeit mit dem Untersucher Kontakt aufnehmen. Die Untersuchungsdauer hängt von der zu untersuchenden Körperregion ab, dauert in der Regel 15-25 Minuten. Während dieser Zeit ist es notwendig, dass Sie möglichst ruhig liegen, um aussagekräftige Bilder anfertigen zu können. Für die Untersuchung der Gefäße im Brustkorb und Bauch müssen Sie zusätzlich nach Aufforderung wiederholt die Luft anhalten. Dies wird Ihnen über die Kopfhörer mitgeteilt werden.
Anschließendes Prozedere und Nachsorge
Nach Untersuchung wird der venöse Zugang entfernt und Sie erhalten einen kleinen Verband. Eine spezielle Nachsorge ist in der Regel nicht notwendig. Die angefertigten Aufnahmen werden von erfahrenen Radiologen begutachtet und es erfolgt in der Regel innerhalb von 24 Stunden nach Ende der Untersuchung ein schriftlicher Befund. In den meisten Fällen enthält der Befund außerdem eine fundierte Behandlungs- oder Nachsorgempfehlung.

MR-Becken-Bein- Angiograpgie (BBA)


